
症例実績
-
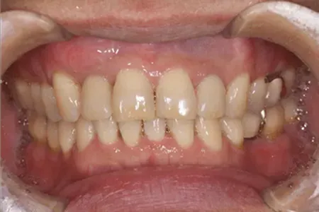
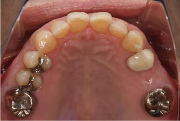
奥歯へのインプラント
/ 50代・男性治療前
治療後
-
治療内容
奥歯へのインプラント治療
-
治療期間
3ヶ月
-
治療費用
¥280,000(税別)
-
副作用・リスク
外科処置が伴うため、術後の疼痛・腫脹・出血・咬合痛などを生じる事があります。 麻酔を行う場合、腫れやむくみを生じる事があります。 また、被せ物や土台が外れたり、欠けたり、緩んだりする事があります。
-
-
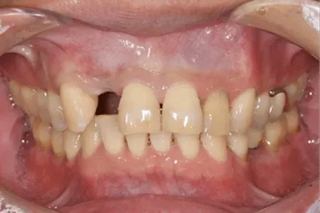
前歯へのインプラントの症例
/ 50代・男性治療前
治療後
-
治療内容
前歯へのインプラント治療
-
治療期間
6ヶ月
-
治療費用
¥430,000(税別)
-
副作用・リスク
外科処置が伴うため、術後の疼痛・腫脹・出血・咬合痛などを生じる事があります。 麻酔を行う場合、腫れやむくみを生じる事があります。 また、被せ物や土台が外れたり、欠けたり、緩んだりする事があります。
-
